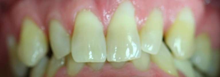
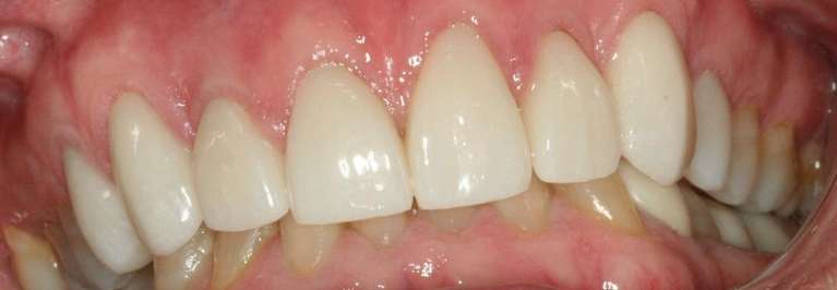
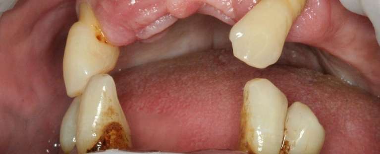
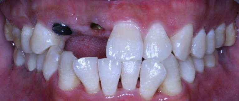
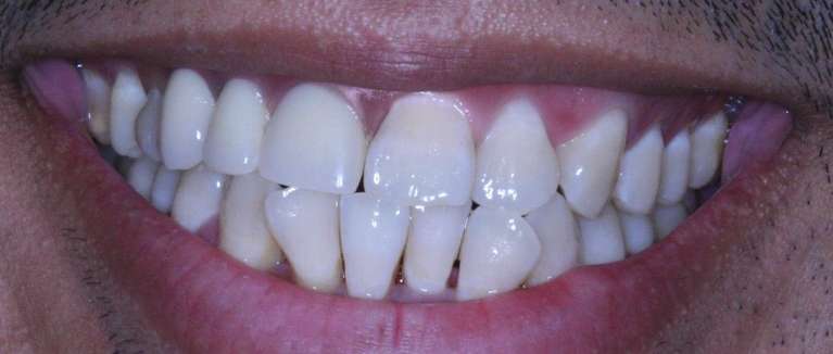
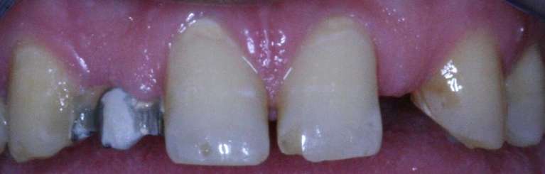
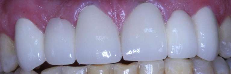
Nothing makes us happier and more gratified than seeing a patient look at their smile and love what they see. Here, you can see some photos and read about our patients' experiences in our dental office.
If you are looking for cosmetic dentistry in Burke, VA, give us a call! Dr. Khan is an expert in his field and can give you the smile of your dreams.
 
My smile has been a work in progress for years, and Dr Khan was able to restore and create a beautiful smile. My care plan, including fees and procedure details, has always been well-communicated, with service consistently surpassing my expectations. Urgent same-day, evening, and weekend appointments support scheduling needs.
Dr Khan's pricing is reasonable, and I have never had a billing concern. Dr. Khan's team is an extension of his family; they are most professional, ethical, and down-to-earth.
His office is modern and artistically pleasing, and the sincerity of each team interaction is calming. I trust Dr. Khan's attention to detail, and his personable demeanor has made my dental journey rewarding. The process of having my veneers done was efficient and seamless, and the end result was 100% amazing!
As a patient of Dr. Khan's practice for over 15 years, he is by far the best dentist! My husband and older daughter are also loyal patients, and I will continue to recommend his office to friends and colleagues. From preventative to cosmetic care, Dr. Khan has a natural compassion and art for dentistry. His focus on quality care is immeasurable, and I could not be more pleased with my smile.
-Jill
 
 
 
 
 
 
 
 
 
 
