Burke Dental Center
Dr. Nabeel Khan

Now Offering Crowns in a Day!

Experience the convenience of same-day dental crowns with our advanced Glidewell Fastmill® technology.

No temporaries. No second visit. Just one appointment for a confident smile.

Learn more about our same-day crowns

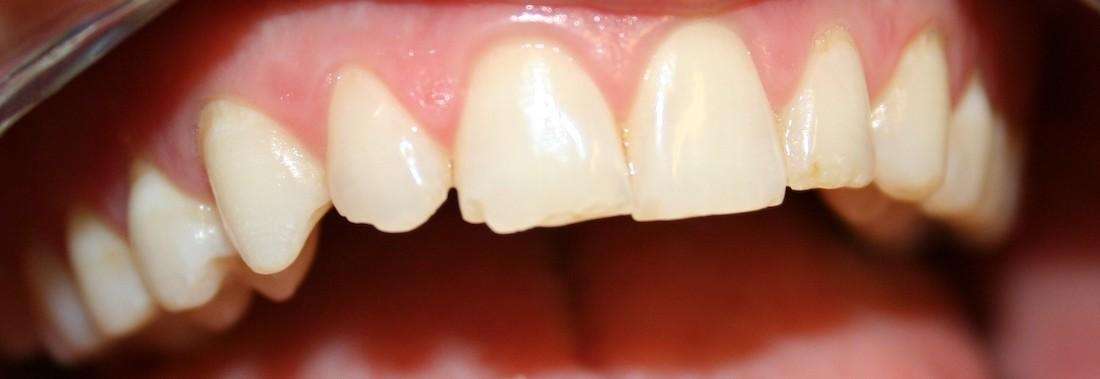
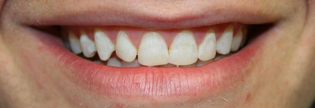
Cosmetic Contouring and Shaping

Donald had chipped front teeth. He was looking for the least expensive solution to make them look better and help with this self-confidence. Dr. Khan has an eye for reshaping.  

Within 30 minutes—Donald was pleasantly surprised with the results.

Are You Ready to Book Your Next Dental Visit?
If you have difficulty using our website, please email us or call us at (703) 440-5075
View the ADA Accessibility Statement