Burke Dental Center
Dr. Nabeel Khan

Now Offering Crowns in a Day!

Experience the convenience of same-day dental crowns with our advanced Glidewell Fastmill® technology.

No temporaries. No second visit. Just one appointment for a confident smile.

Learn more about our same-day crowns

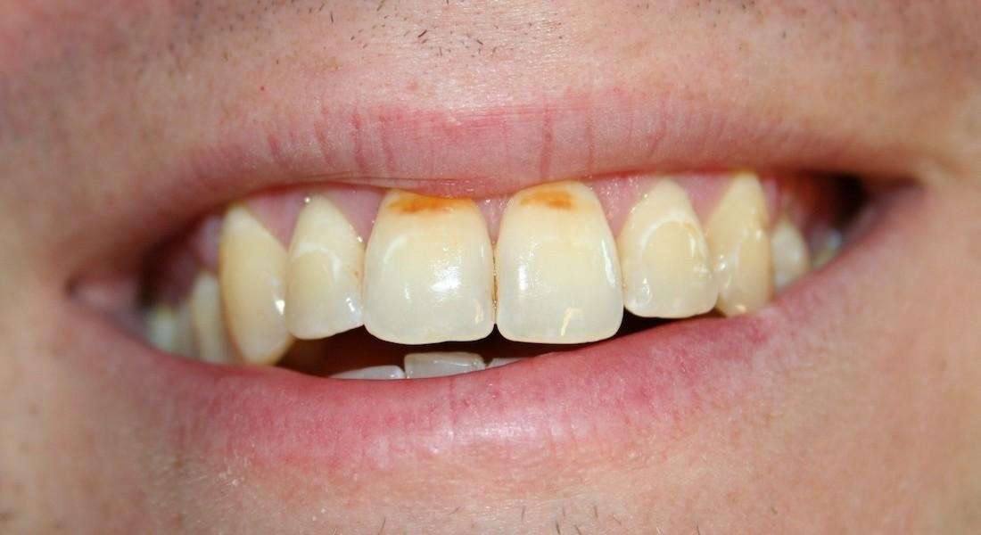
Cosmetic Dental Bonding

Dr. Khan at Burke Dental Center helped this patient achieve a brighter, more confident smile for an upcoming special event. The patient was on a budget and did not want to go with the veneer option.

With Dr. Khan’s expertise, Mike was able to leave the office with a sparkling and engaging smile. The entire process took under an hour, and Mike did not even need to be numbed for the procedure.

We Warmly Welcome New Patients to Our Practice
If you have difficulty using our website, please email us or call us at (703) 440-5075
View the ADA Accessibility Statement