Burke Dental Center
Dr. Nabeel Khan

Now Offering Crowns in a Day!

Experience the convenience of same-day dental crowns with our advanced Glidewell Fastmill® technology.

No temporaries. No second visit. Just one appointment for a confident smile.

Learn more about our same-day crowns

Dental Veneer Treatment

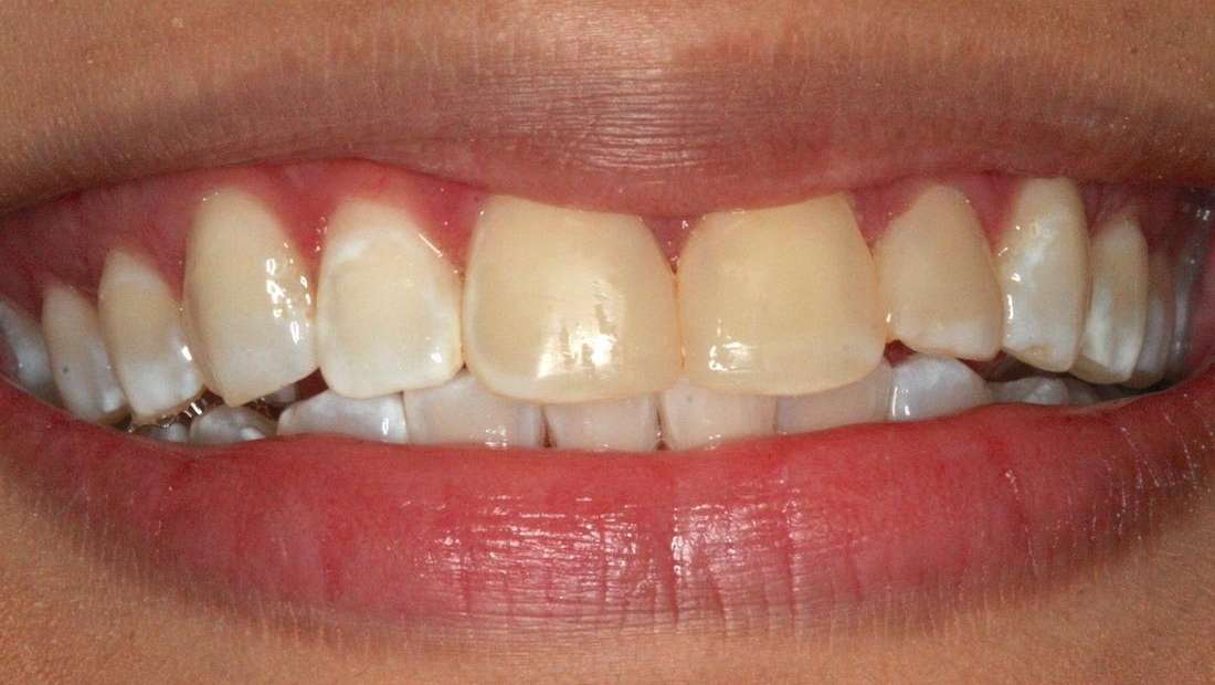
Jackie had old composite veneers on her front teeth, which she was not too happy about. She wanted a vibrant bright smile. Some of her teeth were much smaller than others. With eight veneers, Dr. Khan was able to give Jackie the smile she always wanted.
 

Related Services:

Veneers and Smile Makeovers
We Warmly Welcome New Patients to Our Practice
If you have difficulty using our website, please email us or call us at (703) 440-5075
View the ADA Accessibility Statement